自由診療料金表(消費税を含んでいません)          高知市青木歯科TOP

 

 自費治療を行う場合、クラウンやブリッジでは支台築造以降、取り外しの入れ歯では補診(どういう設計にするかの診断、一般的に型を取る時)以降が自費になります。矯正治療やインプラントはすべて自費になります。

 

 

金属焼付けセラミック冠

上に3本

 

8万円

貴金属メタルに陶材を焼き付けた冠。歯の裏側もできるだけ金属が見えないように設計しています。強度があり、大きなブリッジにも適用可能。もっとも一般的。

リスク:歯ぎしりのひどい方は破折したり、噛みあっている歯がすり減ることがあります。また、稀に金属アレルギーの可能性があります。

 

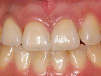
美麗ジルコニア冠

 

7万円

透明感のあるきれいなジルコニア。メタルコアが入っている場合は不向き。生活歯またはファイバーコアの場合に適応。金属アレルギーの心配はありません

審美性はオールセラミック>きれいなジルコニア>ジルコニアの順。強度は逆になります。前歯小臼歯に向いています。

セラミックやジルコニアは表面が極めて滑沢でかつ吸水性がないためプラークが付着しにくいので虫歯や歯周病になりにくい特長もあります。

 

 

ジルコニアインレー(白い)

 

 

4万円

 

噛む力が強く、コンポジットレジン充填では破折する恐れのある大きな虫歯の臼歯に適用(はめ込む治療) 。金属色を避けたい方にはジルコニアインレーを用意しました。

 

入れ歯

 

金属床義歯(コバルトクロム)片顎

    

 

30万円

 

薄く成形できるため装着感にすぐれています。総義歯の場合は保険診療分(34万円)が保険給付されます(特定療養費)

部分義歯にはこの制度は適用されません

 

 

ワイヤー(クラスプ)のない義歯

サンプル

8万円~30万円

金属のクラスプが見えるのが気になる方のための義歯。欠損歯数と金属床にする必要があるかどうかで費用が違ってきます。

 

コンホ-ト義歯(下顎のみ)

30万円

柔らかい素材で快適に。

 

矯正

 

歯列矯正(本格矯正)

 

70万円~80万円

+消費税

 

調整料(1ヶ月5000) 治療期間は1年~2年です。

 

マウスピース矯正

(インビザGO

 

40万円

画期的な、痛くなく、目立たず、1年以内に終わるアライナー矯正装置をつかいます。一日20時間以上の装着が必要です。装着時間が足りないと計画通り動きません。食事の時や歯磨きの時に外すことができるため、ブラッシングやフロスの使用が容易にできるため、矯正治療中にむし歯になるのを防げます。

 

インビザライン

 

50~70万円

歯列拡大と歯と歯の間を0.5ミリ程度削合することで非抜歯で治療する場合

マ調整料5000

 

マイナー矯正(部分矯正)

 

10万円~20万円

+消費税

調整料(1ヵ月5000円)

 

後戻りした場合の再治療

1030万円

+消費税

調整料(1ヵ月5000円)

 

リテイナー(後戻り防止装置)

1万円

2回目以降(治療直後のリテイナーは治療費に含まれます)

 

インプラント

 

インプラント埋入手術一本(支台装置等含む)

 

30万円

 

インプラント上の冠や義歯も自費になります 。埋入後23か月程度で上物が入ります。

 

インプラント上部構造(冠)

 

7万円

写真右端はジルコニア冠、中央は金属焼付けポーセレン冠。インプラント上部構造はネジの緩み、ネジの破折などに備えて取り外しできるセメントで付けています。中央に光って見える小突起は、取り外しの時引っ掛けるためのものです。インプラントは咬耗に伴う挺出がないので、ここ数年は

擦り減らないジルコニアを使っています。

 

 

 

インプラント上部構造(ねじ止め)

 

7万円

 

ネジの緩みに対応できるのがメリットです

 

インプラント(埋入+上部構造)一本

 

37万円+消費税

 

インプラント+ジルコニア冠

リスク:インプラントは虫歯にならないのですが、インプラント周囲の清掃が不充分だと歯周病と同じく、インプラント周囲の骨が吸収するリスクがあります、またインプラントの上にかぶせる冠やブリッジは通常の場合と同じく破折やすり減りのリスクがあります。

 

 

インプラント義歯(レジン)片顎

インプラント義歯(レジン)

          (金属床)

 

レジン床 15万円

 

金属床  30万円

維持のためのマグネットまたはロケーターは別途加算されます。

インプラント2本の場合の義歯は

20万円(インプラント)×2+52500(ロケーター)

×2が加算されます。

 

インプラントメインテナンス

2千円

クリーニング+咬合調整

 

維持装置一個につき

 

1万円

 

インプラントや歯の根に装着するマグネットまたはロケーター

歯の移植

保険給付されない移植

5万円

保険給付されるのは、親知らずを抜歯と同時に移植する場合に限られています

 

審美歯科

 

ホワイトニング(一顎)

 

2万円

 

薬剤2本。トレーに薬剤を入れ、夜間装着する方法です。薬剤のみの追加は2本5000円。

 

根の治療をした歯の漂白

1万円

一本当たり5回まで。歯の中に薬剤を封じ込め一週間ごとに交換します

 

歯肉のメラニン除去

1万円

日焼けで皮膚がはげるのと似た原理で12週間できれいになります

CT

保険適応のない場合〔インプラントのための検査など〕

1万円

レントゲン照射の少ない〔パノラマレントゲンと同等〕機種を使用しています。

2025/10月改定

高知市青木歯科TOP