インプラント(人工歯根)               高知市青木歯科TOP

2025/10/21更新

従来、歯を失ったときはブリッジや取り外しの義歯で補綴(ほてつ)してきました。しかし、ブリッジは支台歯(支えになる歯)を削る必要があり、取り外しの入れ歯は違和感が強く入れて居られないといった欠点がありました。ブリッジの支台歯や義歯の鉤歯(入れ歯を掛ける歯)は、清掃が難しい上に強い力がかかるため虫歯や歯周病で抜歯となってしまうケースが少なくありません。そのため、次第に欠損部が広がって、最後にはすべての歯を失ってしまうこともよくあることでした。

インプラントは健全な歯を削る必要はなく、取り外しの入れ歯のような装着感の悪さもありません。骨の少ない部分にインプラントを埋入する技術や器具が開発され適応範囲が広がっています。また、術前のCT撮影やインプラント表面の改良で、安全性と信頼性が大きく向上しました。

インプラントの値打ちは、ほぼ歯と同じように噛めるところにあります。高齢になると動物性たんぱく質の摂取が健康の維持にとても大切だといわれています。栄養状態を表すアルブミンの基準値は3.85.3/Lです。これが3.5を割るようだと低栄養状態にあるといわれます。星旦二先生は「歯医者さんにはこまめにかかったほうがいいようです。私たちの調査では、「かかりつけの歯科医師がいる」と答えた人が長生きでした。どんなメカニズムが働いているのか明確なところはわかりませんが、私は次のような仮説を立てて追跡調査をしています。まず、歯科医の支援を受けることで望ましい口腔ケアの知識が得られ、高齢になっても歯と口の健康を保つことができる。食は生きることの基本ですから、歯や口が健康であることには大きな意味があります」と言われています。

光学印象iTetoに対応した最新の第五世代インプラントTSXインプラントを導入しました。特徴は初期固定が得やすい、ネジの緩むリスクが低いことです。上部構造は原則ねじ止めになります。

 

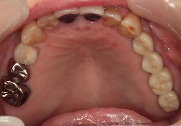
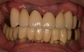
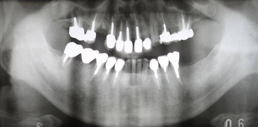
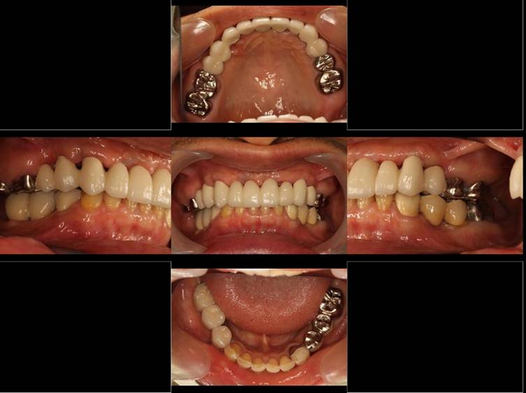
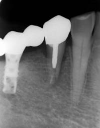
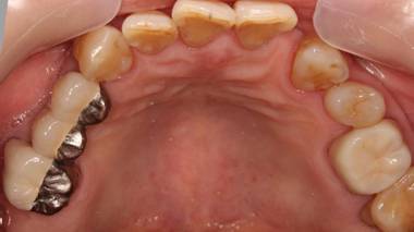
歯周病で抜歯せざるを得ず、インプラントを希望されたケース(使用インプラントはスプライン)

 

説明: 説明: 説明: 説明: 説明: 説明: 説明: 説明: 説明: 説明: 説明: 説明: 片岡 唯子080726(0)

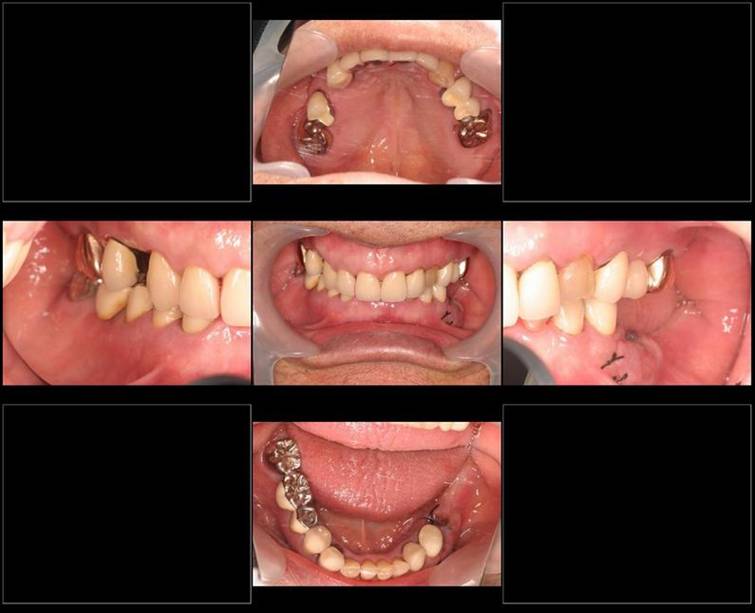
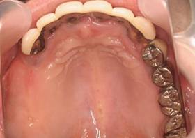
術前。すべての歯が歯周病の末期状態でブリッジ全体がうごいて噛めないとの訴え。右上の犬歯が腫れていました

固定式のブリッジが入っていましたが歯周病で動いています

下顎前歯部には歯石の沈着がみられます

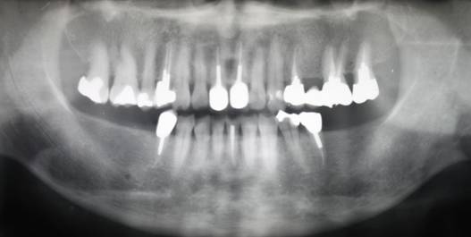
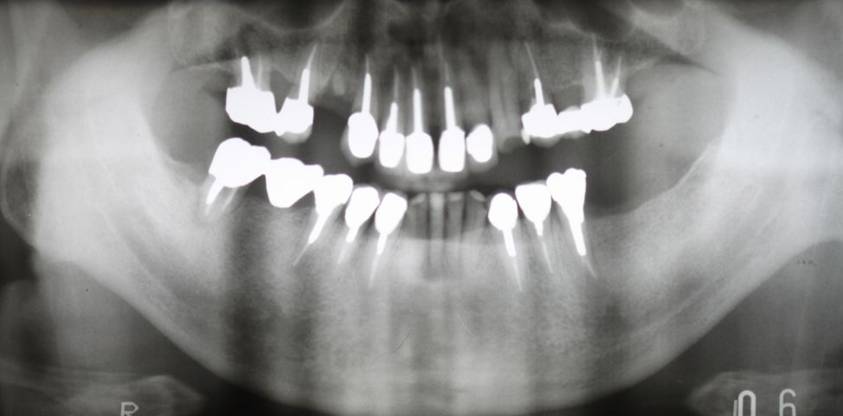
術前パノラマレントゲン写真。根の周りが黒くなり、骨がなくなっていることがわかります

 

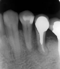
白金加金のアバットメント(土台)

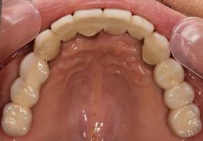
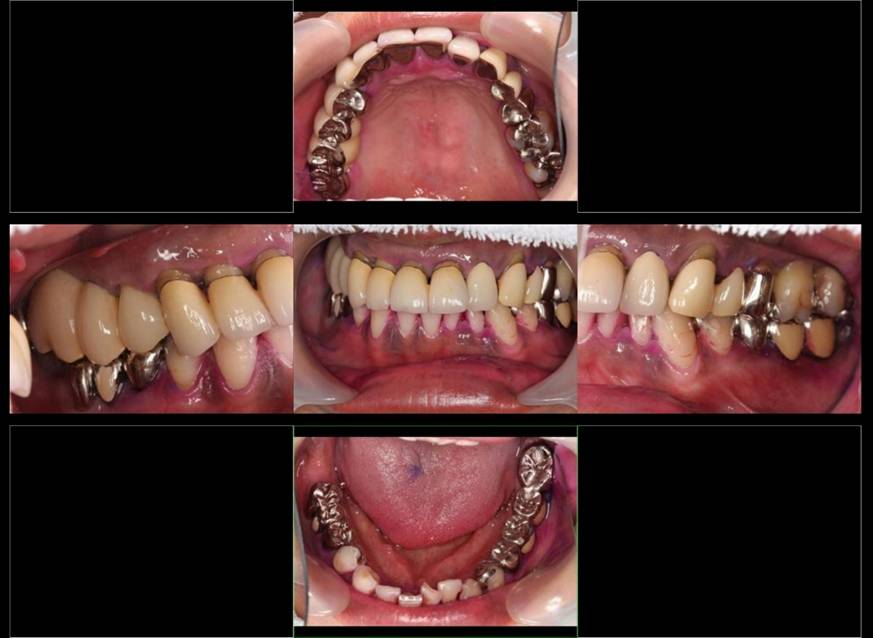
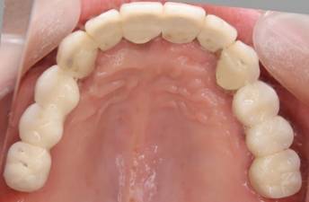
上顎

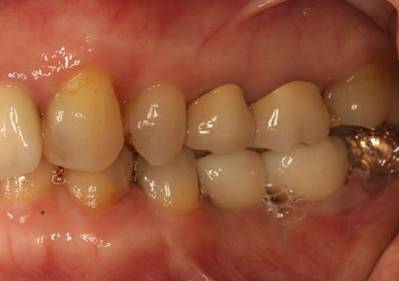
下顎

 

説明: 説明: 説明: 説明: 説明: 説明: 説明: 説明: 説明: 説明: 説明: 説明: 片岡 唯子090509(6)1

説明: 説明: 説明: 説明: 説明: 説明: 説明: 説明: 説明: 説明: 説明: 説明: 片岡 唯子090509(7)

説明: 説明: 説明: 説明: 説明: 説明: 説明: 説明: 説明: 説明: 説明: 説明: 片岡 唯子090509(9)

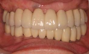
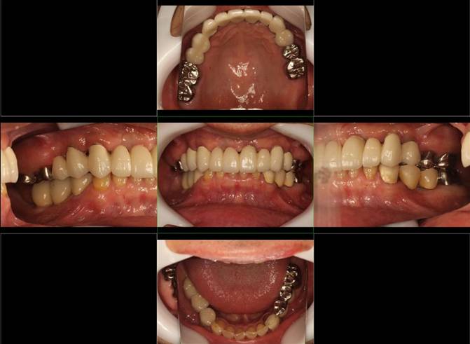
術後。上部構造はハイブリッドレジンです。しっかり嚙めるようになり喜んでいただきました。

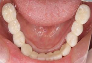
上顎

下顎

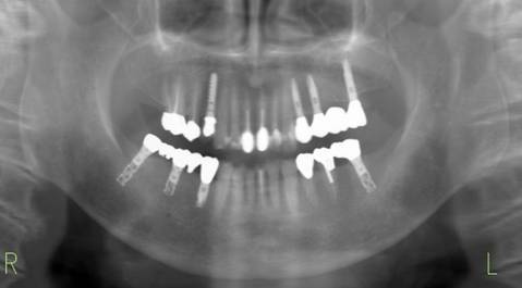
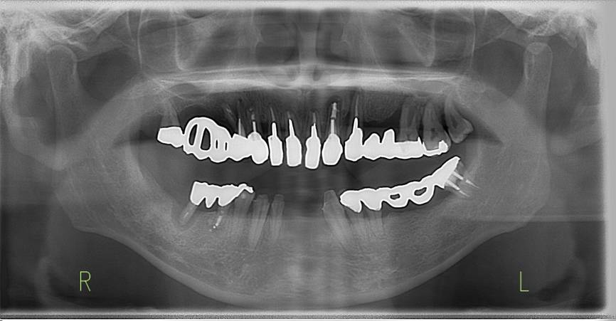
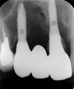
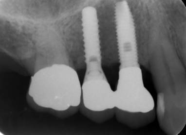
治療後。歯周病で失われた骨が回復しています。使用インプラントはスプラインツイストです。

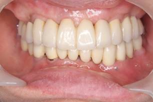
上部構造装着後6年。ハイブリッドレジンを使用したため、少し艶がなくなってきました。上部構造の材料には金属、ハイブリッドレジン、セラミックなどがあります。セラミックはきれいですが欠けやすいため、最近はフルジルコニアを使っています。

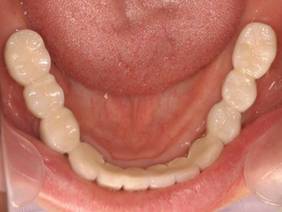
上顎 少しすり減ってきました。

下顎。12か月に一度メインテナンスをしています。

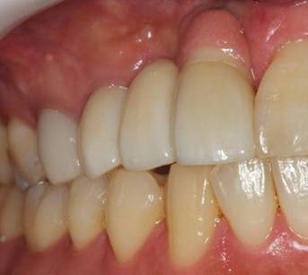
インプラント装着後6年。順調に経過しています。12か月毎のメインテナンスをしています。

室内, 食べ物, ピンク色, 幼い が含まれている画像

自動的に生成された説明

食べ物, 室内 が含まれている画像

自動的に生成された説明

食べ物, 室内 が含まれている画像

自動的に生成された説明

爬虫類, 恐竜, 動物 が含まれている画像

自動的に生成された説明

治療終了後11年

咬耗するのでコンポジットレジンで盛り上げています

下顎

ほとんど変化ありません

 

 

歯周病傾向のあったケース

男性の顔のコラージュ

自動的に生成された説明

写真, 食品, 異なる, ケーキ が含まれている画像

自動的に生成された説明

歯周病が進行していました

清掃は大変良好です。インプラントは虫歯にはなりませんがインプラント周囲組織の炎症は歯周炎と同じように置きますので、家庭療法が大変重要です。

抽象 が含まれている画像

自動的に生成された説明

爬虫類, 横たわる, 猫 が含まれている画像

自動的に生成された説明

歯周病と根尖病変が認められます

上顎はインプラント上のジルコニアによるフルブリッジ。咬耗と破損をしないジルコニアを使いました

 

 

 噛めることが元気のもととおっしゃるOさん

2006年 1984年に治療した左下、右上の歯根破折で抜歯

2019 91歳 ゴルフをするほどお元気。左下は13年経過しています

2006年 右上と左下にストローマンインプラントを入れました

2019年 歯根破折や根面齲蝕のため抜歯した部位をインプラントで補綴しました。ストローマンとスプラインが混在しています。先端の丸井インプラントはストローマンです。

 

 

よく噛めなかったケース

 

食品, 写真, 表示, フルーツ が含まれている画像

自動的に生成された説明

術前。62歳男性。仮の歯の入っている上顎前歯部は抜歯するしかない状態。右下がない為右上臼歯が伸びだしていました。入れ歯では咬めないのでインプラントを希望され紹介されて来院されました。

63歳術後。よく噛めるようになり喜んでいただけました。

術前のパノラマレントゲン写真。仮歯を支えている4本の歯は根が残っているだけで抜歯の必要がありました。

63歳術後のパノラマレントゲン。インプラントはスプラインツイスト

食品, 写真, 異なる, フルーツ が含まれている画像

自動的に生成された説明

食品, 写真, 異なる, 表示 が含まれている画像

自動的に生成された説明

664年後

719年後

抽象 が含まれている画像

自動的に生成された説明

水 が含まれている画像

自動的に生成された説明

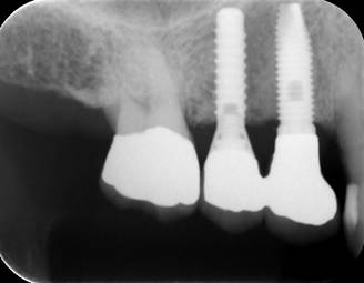
664年後、右下の小臼歯が破折していました

71歳、9年後。破折した右下にインプラントを追加しています

 

 

ストローマンインプラントとスプラインインプラント 

術前

ストローマンインプラントとスプラインインプラントが隣り合わせに埋入されています.このころストローマンからスプラインに変えています。変えた理由は前歯部の審美性に優れていること、アバットメントの自由度があること、抜歯後すぐに埋入できるなどでした。

6年後。犬歯にコンポジット充填。第一大臼歯はメタルボンドになりました

8年後ほとんど変化がありません

屋内, 座る, テーブル, 鏡 が含まれている画像

自動的に生成された説明

 

 

8年後メタルボンド、反対側はジルコニアクラウン

12年後

 

 

 

 

 

ブリッジの破折、下顎隆起が大きく義歯が不向きだったケース

小臼歯が破折し抜歯になりました。咬む力が強く長いブリッジは予後に不安がありました。また下顎隆起が大きく、部分義歯も不向きでした

そこでインプラントにしました

上部構造はフルジルコニア冠にしました

術後のCBCT

インプラントの重大な事故は下顎管から十分な距離をとれば防げます

インプラントにする前のパノラマレントゲン

 

インプラントの隣の歯が破折した2症例

インプラントの隣の歯が破折し腫れていました

抜歯後6か月

抜歯部位にインプラントを追加しました。CBCT

上部構造もやり替えてジルコニア連結冠にしました

 

他院で治療されていたケース。隣の歯が割れています。その隣も根の先に病巣があり抜歯せざるを得ませんでした。

破折線が見えています

既存のインプラントの上部構造(クラウン)を天然歯と同じように形成しブリッジの支台としました。上部構造はフルジルコニアのブリッジ。

一年後

 

歯を全部失った総義歯の患者さんの中には、誰がやっても難しい患者さんがおられます。歯科医の技量不足とばかりはいえないようで、総義歯の世界的定本であるザーブZarbらの「無歯顎患者の補綴治療」第9(1985)に次のような記述があります。

「これまでの章で述べてきた内容を応用することによって、すべての患者に満足のゆく総義歯を装着することができるものであると述べて、無歯顎患者の補綴治療に関する本論を締めくくりたいところである。しかしながら、臨床経験上一部の無歯顎患者では、総義歯を簡単に受け入れることができない場合があることを認めないわけにはいかない。(中略)従来のすべての方法を試みても満足のいく成果が得られないときは、インプラント治療を考えなければならない」

The applied content of the preceding chapters in Part3 ensures a satisfactory complete denture experience for most edentulous patients. However, clinical experience confirms the fact that many edentulous patients do not tolerate complete dentures.(第12版03年) 日本語訳

 

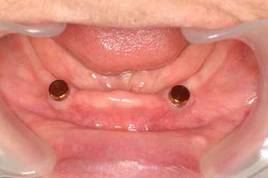
4.下顎無歯顎 インプラントオーバー義歯

説明: 説明: 説明: 説明: 説明: 説明: 説明: 説明: 説明: 説明: 説明: 説明: img009

説明: 説明: 説明: 説明: 説明: 説明: 説明: 説明: 説明: 説明: 説明: 説明: img011

説明: 説明: 説明: 説明: 説明: 説明: 説明: 説明: 説明: 説明: 説明: 説明: 回転 IMG_8798

義歯内面のマグネット(磁石)が2本のインプラントに固定されるため、入れ歯が安定し、よく噛めるようになります。米国では下顎無歯顎治療の第一選択になっています。

インプラントは虫歯にならないのが特長のひとつです。歯の根に同じ装置をつける方法(オーバーデンチャー)もありますが、虫歯になる欠点があります。

保険外診療ですが、比較的安く済み、カナダでは良く行われているようです。(Zarbはカナダ トロント大学教授)

 

 

5.義歯による痛みをインプラントで解決

説明: 説明: 説明: 説明: 説明: 説明: 説明: 説明: 説明: 説明: 説明: 説明: IMG_7515

説明: 説明: 説明: 説明: 説明: 説明: 説明: 説明: 説明: 説明: 説明: 説明: 鍋島 正稔070122(2)

説明: 説明: 説明: 説明: 説明: 説明: 説明: 説明: 説明: 説明: 説明: 説明: P1010007

歯軋りがやまず、普通は痛みが出ることは少ない上顎義歯下の粘膜の痛みが頻繁に生じていました。ストローマンインプラント+マグネットで上顎義歯が固定され痛みがなくなりました。

下顎は固定式インプラントで欠損部を補綴しました。81歳でインプラントをしました。 93歳で亡くなるまで問題なく使っていました。

レントゲン写真です。

 

 

インプラントとCT

術前。もっとも短いインプラントが8ミリですので、上顎洞に少し骨を押し上げる必要がありました。

インプラント埋入直後。骨を押し上げ、人工骨を入れています。

一年後、骨ができています。

 

 

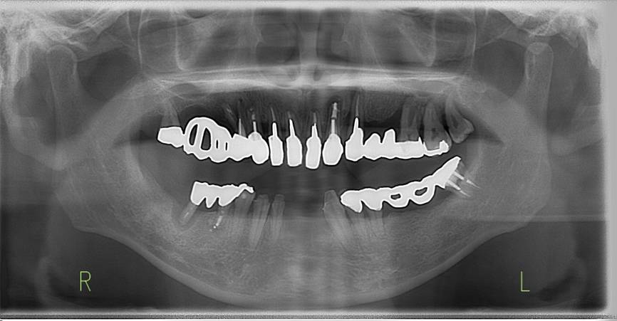
インプラント症例の長期メインテナンス

1990年初診時パノラマ 61歳女性

治療終了時1990

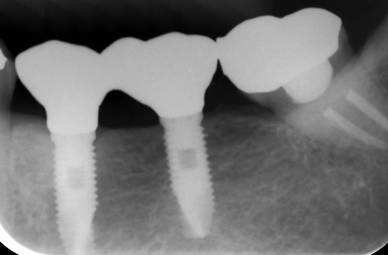
 歯の破折2016年 87

201727年後。27年間に右上4、左上46、右下4の根の治療をされていた臼歯が4本歯根破折し、インプラントに置き換わっています。この間3本のインプラントには変化がありません。根の治療をした歯が破折しやすいこととインプラントが長持ちすることがわかります。

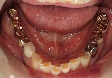
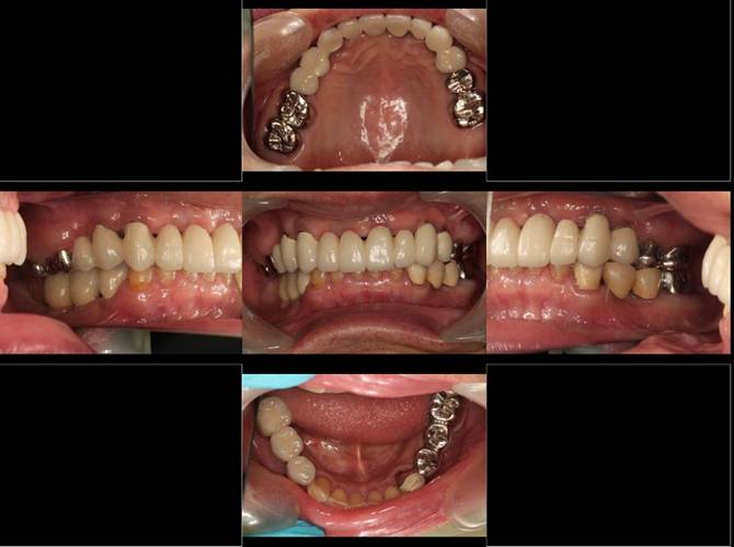
上顎 88歳。右上インプラントは25年経過、左上インプラントは2年経過しています。

下顎。右下4のジルコニア冠はインプラントです。上のレントゲン写真のあとインプラントを埋入しました。ジルコニア冠の色が改善しています。

 

インプラントと咬合(噛みあわせ)

米国の歯科医アムステルダムは、1992年に「インプラントについて自信をもっていえる事実は、今のところただ一つしかない。それは、インプラントは虫歯になる心配がないということだけである」述べています。インプラントの、問題点の一つは位置が変わらない(動かない)ことです。天然歯は、かみ合っている歯がない場合や、歯がすり減ると伸びだします。しかしインプラントは伸びだしません。そのため、天然歯は歯ぎしりなどですり減っても上下がかみ合わなくなることはありません。また、インプラントと天然歯が噛みあっている場合もインプラントは伸びだしませんが、相手の天然歯が伸びだすので、上下が当たらなくなることはありません。

ところがインプラントとインプラントが噛みあっている場合、上部構造(インプラントに被せた冠)がすり減ると上下が当たらなくなってしまいます (天然歯同士の咬み合せがある場合、咬み合わせの高さが天然歯で維持されるため)。これに対処するには、インプラントの上部構造に、フルジルコニアなどのすり減らない材料を使う、すり減った分盛り上げることのできる材料を使う、取り外しができるようにして、やりかえるといった方法をとるなどの対策が必要になります。これはインプラントの欠点の一つです。

さらに天然歯は噛むたびに30100ミクロン弱動くため歯がこすれあい、歯と歯の間がすり減って前方に移動するため動かないインプラントの前方に隙間ができてくることもよく知られた事実です。

また下記のポッセルトの本にあるように前歯が後退するならば、前歯に一本だけ埋入下インプラントは20年ぐらいすると前方に取り残される可能性があります。

※参考:クインテッセンスVol.12 No7/1993-1480

※歯のかみ合わせの咬耗に加えて、歯と歯の間がすり減ることで接触点とは対照的に接触面になります。親知らずから親知らずの歯列の長さは40歳で10mm短くなると計算されています。

ただし、この歯列の短縮は第一大臼歯の移動によるよりも上顎前歯の後退のためである可能性があります。(THE PHYSIOLOGY OF OCCLUSION AND REHABILITATION)第二版1968 22頁。 

原文はこちら

In addition to occlusal attrition, the proximal surfaces become worn so that eventually contact surfaces arise in contradistinction to the contact point. It has been calculated that the whole dental arch as measured from third molar to third molar is generally diminished by about 10mm by the age of 40.

This shortening of the dental arch may be due to retrusion of the upper incisors rather than to migration of the first molars.

 

 

高知市青木歯科TOP   

最終更新日2025/12/7